CEO Picks - The best that international journalism has to offer!
S69
S1The Ant, the Grasshopper, and the Antidote to the Cult of More: A Lovely Vintage Illustrated Poem About the Meaning and Measure of Enough   Each month, I spend hundreds of hours and thousands of dollars keeping The Marginalian going. For seventeen years, it has remained free and ad-free and alive thanks to patronage from readers. I have no staff, no interns, not even an assistant — a thoroughly one-woman labor of love that is also my life and my livelihood. If this labor has made your own life more livable in the past year (or the past decade), please consider aiding its sustenance with a one-time or loyal donation. Your support makes all the difference.“Enough is so vast a sweetness, I suppose it never occurs, only pathetic counterfeits,” Emily Dickinson lamented in a love letter. In his splendid short poem about the secret of happiness, Kurt Vonnegut exposed the taproot of our modern suffering as the gnawing sense that what we have is not enough, that what we are is not enough. This is our modern curse: A century of conspicuous consumption has trained us to be dutiful citizens of the Republic of Not Enough, swearing allegiance to the marketable myth of scarcity, hoarding toilet paper for the apocalypse. Along the way, we have unlearned how to live wide-eyed with wonder at what Hermann Hesse called “the little joys” — those unpurchasable, unstorable emblems of aliveness that abound the moment we look up from our ledger of lack.
Continued here
|
S2The Simple Power of Communicating with Kindness   In today’s world a host of issues are eating away at our connections with each other: Lack of focus, high-speed interactions, political polarization seeping into professional interactions, lack of trust. It’s easy to let daily civilities go by the wayside — or to approach difficult conversations with anger and ferocity — but, the author tells us, her experience as a corporate communications executive points to the benefits for leaders who double down on kindness instead. She outlines three tactics that work: Breaking down defensiveness with graciousness, giving credit, and making space.
Continued here
|
S3Fraughan fool: Ireland's whipped cream and local berry treat   Along hedgerows and up Ireland's boggy hillsides grow small, wild berries, sweetened by summer sun and heralding the beginning of harvest. These purple berries are known as fraughans, from the Irish fraochán. Other names include herts (hurts or hursts), bilberry, whortleberry, whimberry or cowberry. They are the wild cousin to the cultivated blueberry, with an intense sweetness and juiciness that belies their diminutive size.Their peak ripeness coincides with harvest-time celebrations, such as hay making, an important time of feasting and festivals throughout Ireland. On the first Sunday in August, it's customary for local people to descend upon places where fraughans flourish to pick and gorge on as many as they can. This day is known as Fraughan Sunday, also Garland Sunday, and coincides with the old Celtic festival of Lughnasa, one of four important "cross-quarter days" that occur at the midpoint between each solstice and equinox.
Continued here
|
S4Are big cats prowling the UK? What science tells us   Rumours that there are big cats in Britain stubbornly keep cropping up. The thought of a large predator lurking in the rural landscapes of Britain is an exciting one. The most recent widely published claim of a big black cat in the UK does actually show a photo of a big cat species, which can be identified by the small ears relative to the size of the head. But this image turns out to have been photoshopped. The original image can be found on Getty Images, using the search term “big black cat sitting in grass”.
Continued here
|
S5Niger's resource paradox: what should make the country rich has made it a target for predators   A month after the coup in Niger that toppled the democratically elected civilian government of Mohamed Bazoum, the country’s neighbours are still debating the possibility of military intervention. The Economic Community of West African States (Ecowas) – a coalition of west African countries, which includes Niger – has said it intends to send in a taskforce to topple the military junta led by General Abdourahamane Tchiani, which ousted Bazoum on July 26.
Continued here
|
S6
S7 S8Hotels and employment aren't major 'pull factors' for refugees - here's what really draws people to move   People make decisions about where to live, when to leave and where to move based on several complex factors. Among policymakers and people who study immigration, the term “push” factor is used to describe what drives people to leave a country (for example, violence, persecution or poverty).For many years, the UK and other governments have claimed they can stop or reduce irregular migration by removing “pull” factors – those that attract people to a particular country. These might include a generous public welfare system or job opportunities.
Continued here
|
S9Why Japan has started pumping water from Fukushima into the Pacific - and should we be concerned?   Japan’s decision to release water from the Fukushima nuclear power plant has been greeted with horror by the local fishing industry as well as China and several Pacific Island states. China – which together with Hong Kong imports more than US$1.1bn (£866m) of seafood from Japan every year – has slapped a ban on all seafood imports from Japan, citing health concerns.Tokyo has asked for the ban to be lifted immediately. The Japanese prime minister, Fumio Kishida, told reporters on Thursday: “We strongly encourage discussion among experts based on scientific grounds.” Japan has previously criticised China for spreading “scientifically unfounded claims”.
Continued here
|
S10How educational research could play a greater role in K-12 school improvement   Even prior to the COVID-19 pandemic, test scores were beginning to decline. Results from the 2019 National Assessment of Educational Progress,, or NAEP – the most representative assessment of what elementary and middle school students know across specific subjects – show a widening gap between the highest and lowest achievement levels on the NAEP for fourth grade mathematics and eighth grade reading between 2017-19. During the same period, NAEP outcomes show stagnated growth in reading achievement among fourth graders. By eighth grade, there is a greater gap in reading achievement between the highest- and lowest-achieving students.Some education experts have even suggested that the chances for progress get dimmer for students as they get older. For instance, in a 2019-2020 report to Congress, Mark Schneider, the Institute of Educational Sciences director, wrote: “for science and math, the longer students stay in school, the more likely they are to fail to meet even NAEP’s basic performance level.”
Continued here
|
S11How some Muslim and non-Muslim rappers alike embrace Islam's greeting of peace   Ever since the United States’ “war on terror” began, American media has been rife with stereotypes of Muslims as violent, foreign threats. Advocates trying to push back against this characterization sometimes emphasize that “Islam means peace,” since the two words are derived from the same Arabic root.Indeed, the traditional Muslim greeting “al-salamu alaykum” means “peace be upon you.” Some Americans were already familiar with the phrase, thanks to an unexpected source: hip-hop culture, which often incorporated the Arabic phrase.
Continued here
|
S12 S13AI scores in the top percentile of creative thinking   Of all the forms of human intellect that one might expect artificial intelligence to emulate, few people would likely place creativity at the top of their list. Creativity is wonderfully mysterious – and frustratingly fleeting. It defines us as human beings – and seemingly defies the cold logic that lies behind the silicon curtain of machines. New AI tools like DALL-E and Midjourney are increasingly part of creative production, and some have started to win awards for their creative output. The growing impact is both social and economic – as just one example, the potential of AI to generate new, creative content is a defining flashpoint behind the Hollywood writers strike.
Continued here
|
S14Trump out on bail - a criminal justice expert explains the system of cash bail   For several days, former President Donald Trump and his 18 co-defendants in a Georgia election interference case trickled into the Fulton County Jail in Atlanta to surrender for arrest, fingerprinting and mugshots before the noon Aug. 25, 2023, deadline. Charged in the same alleged conspiracy to overturn results in Georgia’s 2020 presidential election, the defendants did not draw the same bail agreements or amounts.Trump’s bail was set at US$200,000, while his former attorney Rudy Giuliani’s bail was set at $150,000. Meanwhile, attorneys John Eastman, Kenneth Chesebro, Jenna Ellis and Sidney Powell each had bail set at $100,000. Bail for other co-defendants ranged from $10,000 to $75,000.
Continued here
|
S15Why CEOs and footballers attract different levels of outrage about high pay   The average pay of FTSE100 CEOs rose by 16% from £3.38 million in 2021 to £3.91 million in 2022, according to the latest figures from thinktank the High Pay Centre. In the same week this was reported, UK political figure Nigel Farage called outgoing NatWest boss Alison Rose’s £2.4 million payout “a sick joke”. She recently resigned for leaking private financial information about him to the BBC. On the other hand, senior NHS doctors are embarking on a second round of strikes in response to recent pay erosion and a “final” pay offer of 6% from the government. In the last two months, teachers have agreed to settle for 6.5%. Train drivers, nurses and university lecturers are also among a growing list of employees for whom proposed pay increases are failing to beat inflation.
Continued here
|
S16Who won the first US Republican presidential debate? An expert reviews the highlights   The reigning champion, and undisputed winner, from the first Republican debate of presidential hopefuls? Donald Trump. Even in his absence, he was the main spectacle. That much was predictable. Although many tried to dance around him, every candidate had to address the “elephant not in the room”. That put Trump centre-stage, in the limelight — exactly where the 2024 Republican favourite wanted to be.
Continued here
|
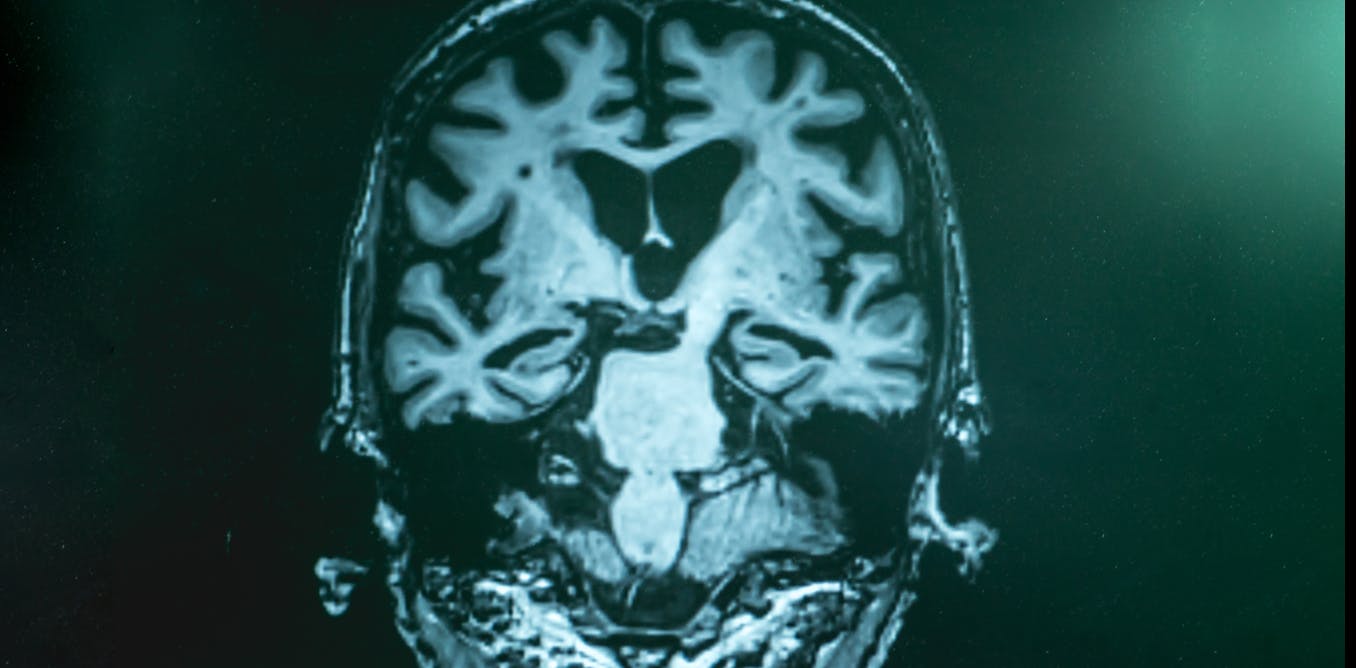
S17Setting the stage for a better understanding of complex brain disorders   We often compare the brain to a machine with wheels, cogs, and belts. In this analogy, when something breaks, the entire mechanism skips a beat or grinds to a halt. However, more often than not this isn’t what happens with our brains. Instead, they’re more like a theatre. Here, neurons are the musicians, actors, and dancers, and they improvise a performance that shapes our thoughts and lives.I’m an electronic and computer engineer at the DSS Lab of the National Technical University of Athens. In December 2019, Ioannis Stavropoulos, a neuroscientist at King’s College London, introduced me to his colleague Elissaios Karageorgiou of the Neurological Institute of Athens. They wanted to talk about an idea they had about neurology and, in a way, theatre, over coffee.
Continued here
|
S18 S19Lucy Letby: child murder case highlights need to regulate managers and improve whistleblowing procedures   The recent conviction of Lucy Letby, the neonatal nurse who murdered seven infants and attempted to murder six others while working at the Countess of Chester Hospital between 2015-2016, has raised fundamental questions about how something like this could have happened – and why it took so long to stop her.The fact is attempts were made to stop her. Two medical consultants, Dr Stephen Brearey and Dr Ravi Jayaram, both raised concerns about unexplained infant deaths as early as July 2015. By October 2015, both brought specific concerns about Letby, who had been on duty during each of the deaths, to the senior director of nursing.
Continued here
|
S20Trump's Mug Shot Is His True Presidential Portrait   It's not really a victory for anybody, this photograph, but lots of us will insist on reading it that way. Before it ever existedâwhen it was only a twinkle in the insistent eye of the Fulton County district attorney, Fani Willisâthe mug shot of former President Donald Trump, released Thursday night, had already been combed for meaning by the political observers who sat impatiently refreshing their Twitter feeds, waiting for the picture to "drop" as if it were a hot album. Much of the anticipation seemed to come from liberals who hoped that the sight of the mug shot would bring home just how surreal Trump's alleged criminal attempts to overturn the 2020 election were. Maybe a national trance would lift and the remaining dead-enders would shake their delusions.But anybody inclined, at this late date, to follow Trump and lend him a vote won't mind this new image too muchâread innocently, it looks like a passport photo taken on a bad day, of some twerpy kid who doesn't feel like flying anyway. It's hard to parse the mug shot because our desire to see Trump get his just deserts keeps getting thwarted, and each fresh hope makes us interpret before we really see.
Continued here
|
S21Vivek Ramaswamy Is Not the Next Trump   Presidential debates, especially those held more than a year before the actual election, are both tedious and chaotic. We all know at this point to not make too much of them. But, much like preseason football, they provide exciting, if illusory, bits of narrative possibility.For the entrepreneur and political novice Vivek Ramaswamy, the early story line is that he put on the most Trump-like performance of all the Republican candidates who took the stage on Wednesday night. The evidence for that claim comes from the obnoxious way that Ramaswamy dealt with his opponents. He claimed to be the only candidate who hadn’t been “bought off,” made a series of frankly confusing hand gestures while his opponents were speaking, and spent almost the entirety of the debate with what we will generously call an impish grin on his face. He seemed, more than anything, to be having a lot of fun at the expense of the other candidates, whose behavior ranged from confused earnestness (Doug Burgum) to polite indignation (Mike Pence) to random yelling (Ron DeSantis).
Continued here
|
S22What We Lose When Streaming Companies Choose What We Watch   To have or not to have, that is the question. The problem with having is obvious when looking around at the many shelves for books and CDs and the filing cabinet for DVDs that line the walls and fill floor space at home. It’s especially an issue for city people whose apartment space is at a premium and who lack basements or attics or (imagine!) a spare room to hold their hoard. Ditching physical media in favor of streaming is a liberation of sorts—an unburdening that goes beyond clutter and, in a sense, lightens life itself. It’s a moveable feast for those who live precariously and for others who travel often. In Michael Mann’s thriller “Heat,” Robert De Niro delivers this line: “A guy told me one time, ‘Don’t let yourself get attached to anything you are not willing to walk out on in thirty seconds flat if you feel the heat around the corner.’ ” So much for the personal library. At least he’ll have his Criterion Channel subscription.I was out of town for a couple of weeks recently, and I had my subscriptions, too. The permanent smorgasbord of streaming services, whether of movies or music, is a diabolical temptation. Curiosity is easy to satisfy—at least within the wide limits of what’s available. Moreover, a month’s subscription to the Criterion Channel costs less than the purchase of any one Criterion Collection disk, while offering access to hundreds of classics. Even a small basketful of various subscriptions would likely add up to less than one might easily spend on a batch of CDs or DVDs or Blu-rays (not to mention the devices to play them on). Not only is streaming a good deal; given the huge losses recorded by many major streaming services, it may be too good a deal, as suggested by the surprising news this week—even as Netflix is ending its original DVD-by-mail service—that Bob Iger, the C.E.O. of Disney, is contemplating restoring physical media to the company’s offerings.
Continued here
|
S23Vivek Mania Sweeps the Country   Follow @newyorkercartoons on Instagram and sign up for the Daily Humor newsletter for more funny stuff.By signing up, you agree to our User Agreement and Privacy Policy & Cookie Statement. This site is protected by reCAPTCHA and the Google Privacy Policy and Terms of Service apply.
Continued here
|
S24How Much Do Words Matter?   Compared with other widely spoken languages, English has few guardrails against the will of the masses. We have no governing body equivalent to the Real Academia Española, much less the notoriously hard-core Office Québécois de la Langue Française, and our self-appointed language police, the bow-tied vigilantes behind usage guides and dictionaries, have for the last fifty years seen their power wane. Grammar is out, relativism is in, and the very project of telling (alt: teaching) other people how to speak or write has come to be seen by many Americans as authoritarian on its face. Depending on whom you ask, the language tyrants are either a cultural élite bent on gender-neutral pronouns and sensitivity training or a racist overclass clinging to power by refusing to take seriously anyone who ends a sentence in a preposition. Either way, it’s worth remembering that, outside the small fiefdoms of H.R. seminars and classrooms, the English language has no actual nobility.The frustrations of language democracy are just those of democracy in general: that we must, to a large and sometimes intolerable extent, abide by the votes of other people. And so, in language as in any other democratic process, we campaign. Perhaps you ask your roommates not to say “moist,” or you get married and insist that your co-workers use your new last name. Your roommates may not agree that “moist” is objectionable. Your co-workers may disapprove on feminist grounds of you taking your husband’s last name. But if they value keeping the peace at home and work more than they value their unfettered free expression—and, in practice, almost everyone does, almost all of the time—they will, at least to your face, obey.
Continued here
|
S25"Braiding Sweetgrass," and a Lesson in Extreme Heat   Robin Wall Kimmerer is an unlikely literary starâa botanist by training, specializing in moss. But she set out to bridge the gap between Western science and Indigenous teaching with high ambition. "So much of the environmental movement to me is grounded in fear," she says. "And we have a lot to be afraid aboutâlet's not ignore thatâbut what I really wanted to do was to help people really love the land again. Because I think that's why we are where we are: that we haven't loved the land enough." What she created was a surprise best-seller and literary phenomenon called "Braiding Sweetgrass." The New Yorker's Parul Sehgal went to visit Kimmerer to talk about the book's origins and impact on its tenth anniversary. Plus, during the hottest summer in history, the medical correspondent Dhruv Khullar undergoes testing in a specialized heat chamber with researchers who are studying how rising temperatures will affect the body.During the hottest summer in history, The New Yorker's Dhruv Khullar undergoes testing in a specialized chamber where researchers monitor the effects of heat on the body.
Continued here
|
S26At a Trumpless G.O.P. Debate, Trumpism Dominates   The Washington Roundtable: In the first debate of the Republican Presidential primary, which took place in Milwaukee on Wednesday night, six of the eight potential nominees onstage raised their hands to indicate that, if Donald Trump is their party’s choice, they will support him—even if he is convicted in a court of law. Trump wasn’t present. The following day, the former President had his mug shot taken in a Fulton County jail. Trump was booked on thirteen charges, among them that he, along with eighteen others, conducted a “criminal enterprise” to overturn his 2020 defeat in Georgia. The two events signal the G.O.P.’s dilemma regarding Trump, and his grip on the contest for the nomination. What motivates the Republican primary contenders to defend a man whom they are ostensibly trying to defeat? The New Yorker staff writers Susan B. Glasser, Jane Mayer, and Evan Osnos weigh in.By signing up, you agree to our User Agreement and Privacy Policy & Cookie Statement. This site is protected by reCAPTCHA and the Google Privacy Policy and Terms of Service apply.
Continued here
|
S27Into the Invisible Elsewhere   By signing up, you agree to our User Agreement and Privacy Policy & Cookie Statement. This site is protected by reCAPTCHA and the Google Privacy Policy and Terms of Service apply.© 2023 Condé Nast. All rights reserved. Use of this site constitutes acceptance of our User Agreement and Privacy Policy and Cookie Statement and Your California Privacy Rights. The New Yorker may earn a portion of sales from products that are purchased through our site as part of our Affiliate Partnerships with retailers. The material on this site may not be reproduced, distributed, transmitted, cached or otherwise used, except with the prior written permission of Condé Nast. Ad Choices
Continued here
|
S28You Need to Watch the Most Epic Heist Movie of 2023 on Amazon Prime ASAP   Over the past 20 years, moviegoers have been exposed to a wide variety of takes on the fantasy genre. Peter Jackson’s Lord of the Rings trilogy not only boosted the genre’s popularity, but showcased the wide array of tones it can contain, from lighthearted whimsy all the way to grim self-seriousness. In the years since Game of Thrones premiered, however, an increasing number of films and shows have stuck disappointingly close to HBO’s oppressively dark take on the genre.That’s one reason Dungeons & Dragons: Honor Among Thieves felt like such a tonic when it was released earlier this year. The film, which was written and directed by Game Night directors Jonathan Goldstein and John Francis Daley, is a clever and cheerful fantasy romp. Even more importantly, it managed to capture the unshakeable sense of camaraderie, improvised chaos, and self-awareness of its tabletop game source material without ever losing control of its story. And now it’s officially available to stream on Amazon Prime.
Continued here
|
S29'Gran Turismo' is Neill Blomkamp's Worst Movie For One Disappointing Reason   The director was once one of Hollywood’s brightest up-and-coming voices, but not anymore.Fourteen years ago, Neill Blomkamp burst onto the Hollywood scene with his feature directorial debut, District 9. A modest, partly-found footage sci-fi film, District 9 received rave reviews for Blomkamp’s inspired direction and its pointed political themes. It went on to receive numerous Oscar nominations in 2010, including one for Best Picture, which seemed to cement Blomkamp’s place as one of the most lauded and promising filmmaking voices of his generation.
Continued here
|
S3032 Years Later, The Most Underrated Star Wars Spaceship Is Finally Canon   If you were reading edgy Star Wars comics in 1991 and 1992, there’s a very real chance you poured over a small smattering of panels featuring the E-wing starfighter, a sleek Star Wars ship that was supposed to be even better than the X-wings of the classic movies. Set six years after Return of the Jedi, the iconic Dark Horse Comics miniseries, Dark Empire, didn’t feature this slick ship prominently, but did posit a Star Wars future in which this ship was the default most powerful fighter around. And now, 32 years after the first issue of Dark Empire dropped on December 12, 1991, the 2023 Disney+ series Star Wars: Ahsoka has finally brought the E-wings into live-action canon.
Continued here
|
S31'Persona 3 Reload' Release Date, Trailer, Story Content, and Platforms   The Xbox Games Showcase 2023 saw the official reveal of the long-rumored (and recently leaked) Persona 3 Reload. Not to be confused with Persona 3 Portable, which received a port in early 2023, Persona 3 Reload is a completely remade version of the Atlus RPG’s original release.Persona 3 Reload will come to PlayStation, Xbox, and PC on February 2, 2024. That means you should have plenty of time to play Persona 5 Tactica, due out November 17, 2023, before Reload launches.
Continued here
|
S32The Biggest Sci-fi Movie of 2023 is in Serious Trouble   Two years after a global pandemic curtailed a box office break for Dune: Part One, its sequel is facing another setback. Dune: Part Two was originally slated for a November 2023 release, but distributors at Legendary and Warner Bros. have pushed the film back to Spring 2024. According to The Hollywood Reporter, Dune: Part Two will now hit theaters on March 15, 2024. The delay has also been accompanied by a later release of Godzilla x Kong: The New Empire, one month later to April 12, 2024.
Continued here
|
S33Of All The Weird, Wildly Popular Stuff on Amazon, These 50 Things Actually Deserve the Hype   A lot of things on Amazon go viral. If you have ever looked at a dress that everyone says is a “must-have” item and wondered how anyone could fall for that hype, you know that the reasons are not always compelling. Some things become popular only because someone popular got paid to wear them. But that’s not the case with any of these things. Of all the weird, wildly popular stuff on Amazon, these 50 things actually deserve the hype. If you always sleep through your alarm, it will affect everything from your grades to your career and relationships. But you can rely on CLOCKY to get you up. Clocky makes the kind of ruckus even you can’t sleep through. It leaps off the bedside table and tears around the room, making you get up and chase him to stop the alarm. This little guy saved me,” said one reviewer. “As soon as he hits the floor I'm up.”
Continued here
|
S34 S35Futuristic Geoengineering Projects To Solve Climate Change Could Have Drastic Side Effects   Changing Earth’s complex and interconnected climate system may have unintended consequences. When soaring temperatures, extreme weather, and catastrophic wildfires hit the headlines, people start asking for quick fixes to climate change. The U.S. government just announced the first awards from a US$3.5 billion fund for projects that promise to pull carbon dioxide out of the air. Policymakers are also exploring more invasive types of geoengineering — the deliberate, large-scale manipulation of Earth’s natural systems.
Continued here
|
S36 S37Strategy for Start-ups   In their haste to get to market first, write Joshua Gans, Erin L. Scott, and Scott Stern, entrepreneurs often run with the first plausible strategy they identify. They can improve their chances of picking the right path by investigating four generic go-to-market strategies and choosing a version that aligns most closely with their founding values and motivations. The authors provide a framework, which they call the entrepreneurial strategy compass, for doing so.
Continued here
|
S38The One Number You Need to Grow   This finding is based on two years of research in which a variety of survey questions were tested by linking the responses with actual customer behavior—purchasing patterns and referrals—and ultimately with company growth. Surprisingly, the most effective question wasn’t about customer satisfaction or even loyalty per se. In most of the industries studied, the percentage of customers enthusiastic enough about a company to refer it to a friend or colleague directly correlated with growth rates among competitors.
Continued here
|
S39A Better Way to Map Brand Strategy   Companies have long used perceptual mapping to understand how consumers feel about their brands relative to competitors’, to find gaps in the marketplace, and to develop brand positions. But the business value of these maps is limited because they fail to link a brand’s market position to business performance metrics such as pricing and sales. Other marketing tools measure brands on yardsticks such as market share, growth rate, and profitability but fail to take consumer perceptions into consideration.
Continued here
|
S40How to Take Better Breaks at Work, According to Research   Taking periodic work breaks throughout the day can boost well-being and performance, but far too few of us take them regularly — or take the most effective types. A systematic review of more than 80 studies on break-taking outlines some best practices for making the most of time away from our tasks, including where, when, and how. It also offers tips for managers and organizations to encourage their employees to take more beneficial and more frequent breaks.
Continued here
|
S41How to Speak Confidently to Your Team During Chaotic Times   These days, many employees feel like they’re constantly receiving a stream of bad or confusing news that affects their work in unpredictable ways. When they only hear simple summaries from their leaders about issues they know aren’t so simple, teams can feel frustrated and even angry. Next time you feel you need to say something, but you’re not sure what to say, try these three strategies: 1) Recognize the power of “and” — it allows you to align two seemingly separate thoughts, such as “things are difficult and things will be okay.” 2) Teach the past to arm the future. Unpacking the past and connecting it to the present can help you create more certainty. 3) Adopt a more experimental mindset. This can help change feel less risky.
Continued here
|
S42When a Coworker Undermines You in a Meeting   Feeling undermined, unappreciated, or unsupported by a colleague when you’re both in the same meeting can lead to loss of trust, along with feelings of self-doubt and lack of confidence. But looking to see what you can do to help the situation, rather than dwelling on what someone is doing to you, can begin to ease tension and repair a dysfunctional working relationship. In this article, the author offers strategies to try when a coworker doesn’t have your back.
Continued here
|
S43How to Reskill Your Workforce in the Age of AI   By now, it’s probably clear to most of us that the Age of AI has arrived. Artificial intelligence applications promise to transform nearly every aspect of business, from analytics to product development to customer experience to pretty much everything else. What’s less clear is how we can best manage this potential. In particular, how do we organize and reskill our workforces to take advantage of both the automated and human skills that will be necessary to drive future success. To try to answer these questions, we invited Raffaella Sadun, a professor at Harvard Business School, to be our guest on “The New World of Work”. Raffaella’s research focuses on the managerial and organizational drivers of productivity and growth, and she is the co-author of the cover story in the latest issue of Harvard Business Review: “Reskilling in the Age of AI.” The conversation mainly focused on the reskilling challenge. Her underlying message is that companies need to adapt properly to the technology at hand. Do it right, and you can unlock opportunities for innovation and growth. Do it wrong, and you might stagnate.
Continued here
|
S44A new life for London's lost rivers   Though most visitors to London think only of the River Thames, the city is a myriad of waterways. Old maps show a skein of rivers and brooks that provided "blue corridors" traversing the city for centuries, providing both sources of food and recreation. But as London boomed, these waterways faded from consciousness – encased by walls, turned into polluted backwaters or simply covered over to run unseen beneath busy streets.But these "secret" rivers are imprinted on London's geography. Marylebone started life as St Mary by the bourne (an old name for a watercourse, in this case the Tyburn); while Bayswater, Knightsbridge, Westbourne and Holborn are all named by waterways that ran through them. Deptford was the site of a deep ford over the Ravensbourne, while Wandsworth is named after the River Wandle. East Ham and West Ham get their names from an old word for an area between rivers (hamm) – in their case, the Lea and the Roding. And while Britain's leading newspapers have left Fleet Street, the River Fleet still runs beneath.
Continued here
|
S45The place where no humans will tread for 100,000 years   I'm always upbeat on the way to interviews. To me they're the most enjoyable part of the storytelling process.But this time I feel different. A tour at Onkalo, which lies 450m (1,480ft) below the ground, to see tunnels hewn in the living rock to store highly radioactive waste for 100,000 years, suddenly makes me nervous.
Continued here
|
S46Shopee, the juggernaut that fended off Amazon   To open the Shopee app is to enter a whirlwind of promotions. The signature orange clashes with red banners blaring discounts; streaming previews lure the user into live shopping; various stores offer similar products, and compete intensely to reduce prices or delivery fees.For Shopee, the formula has worked. It’s the most visited e-commerce platform in Indonesia, the fourth most-populous country in the world. It has also conquered the majority of Southeast Asia, becoming a huge player in Malaysia, Thailand, Vietnam, the Philippines, and even as far as Taiwan and Brazil. (According to McKinsey, Shopee is particularly popular for its apparel and beauty products.) The app had already launched by the time Amazon attempted to enter Southeast Asia in 2017, and along with Alibaba-backed Lazada, has managed to box out the U.S. e-commerce giant from the region.
Continued here
|
S47The Colors of Stars, Explained   From dim red to brilliant blue, stellar colors span the spectrum—and reveal how much any star brings the heatI don’t really have a favorite time of year to stargaze; each season brings its own unique charms to the sky. But there is something special about summer, when the weather is milder and the Milky Way stretches high overhead, carrying a bright panoply of stars.
Continued here
|
S48 S49 S50How Wealthy UFO Fans Helped Fuel Fringe Beliefs   In a 2017 interview with 60 Minutes, Robert Bigelow didn’t hesitate when he was asked if space aliens had ever visited Earth. “There has been and is an existing presence, an ET presence,” said Bigelow, a Las Vegas-based real estate mogul and founder of Bigelow Aerospace, a company NASA had contracted to build inflatable space station habitats. Bigelow was so certain, he indicated, because he had “spent millions and millions and millions” of dollars searching for UFO evidence. “I probably spent more as an individual than anybody else in the United States has ever spent on this subject.”He’s right. Since the early 1990s, Bigelow has bankrolled a voluminous stream of pseudoscience on modern-day UFO lore—investigating everything from crop circles and cattle mutilations to alien abductions and UFO crashes. Indeed, if you name a UFO rabbit hole, it’s a good bet the 79-year-old tycoon has flushed his riches down it.
Continued here
|
S51How Archaeological Methods Are Helping Identify Victims of the Hawaii Wildfires   The following essay is reprinted with permission from The Conversation, an online publication covering the latest research.Fire devastates communities and families, and it makes identification of victims challenging. In the aftermath of the wildfire that swept through Lahaina, Hawaii, officials are collecting DNA samples from relatives of missing persons in the hope that this can aid in identifying those who died in the fire.
Continued here
|
S52 S53ChatGPT Can Get Good Grades. What Should Educators Do about It?   With its ability to pump out confident, humanlike prose almost instantaneously, ChatGPT is a valuable cheating tool for students who want to outsource their writing assignments. When fed a homework or test question from a college-level course, the generative artificial intelligence program is liable to be graded just as highly, if not better, than a college student, according to a new study published on Thursday in Scientific Reports. With no reliable tools for distinguishing AI content from human work, educators will have to rethink how they structure their courses and assess students—and what humans might lose if we never learn how to write for ourselves.In the new research, computer scientists and other academics compiled 233 student assessment questions from 32 professors who taught across eight different disciplines at New York University Abu Dhabi. Then they gathered three randomly selected student answers to those questions from each professor and also generated three different answers from ChatGPT. Trained subject graders, blind to the circumstances of the study, assessed all the answers. In nine of the 32 classes, ChatGPT’s text received equivalent or higher marks than the student work. “The current version of ChatGPT is comparable, or even superior, to students in nearly 30 percent of courses,” wrote study authors Yasir Zaki and Talal Rahwan, both computer scientists at N.Y.U. Abu Dhabi, in an e-mail to Scientific American. “We expect that this percentage will only increase with future versions.”
Continued here
|
S54Stuart Kauffman: The "adjacent possible" -- and how it explains human innovation   From the astonishing evolutionary advances of the Cambrian explosion to our present-day computing revolution, the trend of dramatic growth after periods of stability can be explained through the theory of the "adjacent possible," says theoretical biologist Stuart Kauffman. Tracing the arc of human history through the tools and technologies we've invented, he explains the impact human ingenuity has had on the planet -- and calls for a shift towards more protection for all life on Earth.
Continued here
|
S55The Elvie Breast Pump Is Wildly Overpriced   If you buy something using links in our stories, we may earn a commission. This helps support our journalism. Learn more. Please also consider subscribing to WIREDI see Elvie pumps everywhere. My fellow moms rave about it on Instagram. I find it on store shelves frequently. It sounded like the newer, cooler version of the Willow pumps, which I've known about since launch.
Continued here
|
S56The Anticlimactic Death of the Streaming Wars   Maybe A League of Their Own was doomed to strike out. A passion project in all senses of the word, it was a reboot hell-bent on showing the queer lives in the All-American Girls Professional Baseball League that never made it into the 1992 movie. More succinctly, it was the kind of reimagining (long-form, prestige-y, tapping into an existing niche fanbase) that often only gets a shot thanks to a deep-pocketed streamer. It got to play one season. Last spring, Amazon Prime Video renewed it for a truncated second one. Last Friday, that plug got pulled; Amazon pointed the finger at the ongoing writers’ and actors’ strikes.Abbi Jacobson, the Broad City star who co-created the series, hit Instagram to say that blaming the cancelation on the strikes was “bullshit and cowardly,” but the fact remains: The show’s life on Prime Video is over. Amazon also canceled the second season of the William Gibson adaptation The Peripheral, despite having renewed it back in February. Hollywood is a ruthless business, no matter which network or streamer a show calls home.
Continued here
|
S5728 Best REI Labor Day Deals on Tents, Sleeping Bags, and Outdoor Gear   Summer is winding down, which means great deals on outdoor gear. The REI Labor Day Sale runs from August 25 through September 4, and other retailers like Backcountry are joining in on the discount bonanza. It's the perfect time to get some new gear, like tents, sleeping bags and pads, or some merino wool for those increasingly cool nights in the outdoors. We've rounded up the best Labor Day outdoor deals right here, and we'll continue adding more over the next week. Be sure to check our other Labor Day deals coverage for more, including the Best Early Labor Day Deals, the Best Labor Day Mattress Deals, as well as the Best Back-to-School Deals.
Continued here
|
S58In a World of Fakes, Trump's Real Mug Shot Matters   For months, Etsy has become littered with a new genre of T-shirt: the Donald Trump mug shot. And they’re available in two main styles: Guity AF and Not Guilty. The shirts are adorned with photos of the former US president appearing as if he’d just been booked, but until very recently, they’ve been fakes—most of them unconvincing ones. Etsy sellers have been uploading them to the platform since at least March, as Trump has been indicted for numerous alleged crimes. Even Trump’s own campaign released a fake mug shot T-shirt to raise money.But yesterday, the 2024 Republican presidential candidate was finally subjected to the criminal tradition of a mug shot in Georgia, where he has been indicted on charges relating to attempts to overturn 2020 election results in the state. It’s the fourth indictment against Trump, who now faces 91 felony charges in four jurisdictions. Trump maintains that he committed “no crime.”
Continued here
|
S59The Best Back-to-School Deals on Laptops, Backpacks, and Earbuds   Summer is Fading away, and school is almost back in session (for some, it's already started!). We scoured the internet for the best discounts on gadgets and gear for teachers, students, parents, and anyone else in the market for back-to-school fare. Be sure to check out our Best Dorm Gear guide for additional recommendations and gift ideas, plus the Best Student Discounts and Best Teacher Discounts. For more deals, read our guides to the Best Early Labor Day Sales, Best Labor Day Mattress Deals, and Best REI Labor Day Deals.
Continued here
|
S60Ask Ethan: Why will the Milky Way and Andromeda collide?   Of all the galaxies in the Universe that lie beyond the Milky Way, none looms larger than our “big sister” in the Local Group: Andromeda. Andromeda has more stars, more mass, and a larger physical extent than the Milky Way in all three dimensions. It spans a larger angular extent in our sky than six full Moons all lined up next to one another, and despite its location some 2.5 million light-years away from us, it’s actually moving in our direction, setting up a collision that should happen 4 billion years in our cosmic future. Another 3 billion years later, the greatest galactic merger in our Local Group’s history will be complete, leaving just one behemoth of a galaxy at its core: Milkdromeda.But why is this happening? After all, not only is the Universe expanding, but the expansion of the Universe is accelerating, too! How could these two seemingly paradoxical points both be true: the expanding Universe is accelerating, but Andromeda is heading toward us and is destined for a collision-and-merger with us? That’s what Robert Asselta wants to know, writing in to inquire:
Continued here
|
S61Anxiety evolved to help us -- what went wrong? A neuroscientist explains.   Anxiety is a feature of evolution, not a bug. That doesn’t make it less uncomfortable, though. The good news is that we can harness it to our benefit, says Wendy Suzuki, a neuroscientist and the author of “Good Anxiety.” By tapping into what she calls the six “superpowers” of anxiety, we can redirect these uncomfortable feelings into positive outcomes.Suzuki explains the neurological root of anxiety, including how the amygdala automatically activates when we are scared or stressed. To make matters worse, the prefrontal cortex — the rational, executive function center of the brain — shuts down when we need it most.
Continued here
|
S62Biohacking our way to health   Developmental biologist Michael Levin proposes an alternative approach to regenerative medicine: one that involves communicating with cells to trigger changes in tissues. He envisions a future where biomedicine relies less on chemistry and looks more like behavioral science.By leveraging the native competencies of cells, Levin thinks researchers can achieve complex outcomes without micromanagement. He demonstrates this through the regeneration of frog legs by simply nudging cells toward the regenerative state.
Continued here
|
S63Bushido: The Japanese samurai code for kamikaze pilots and businessmen   Soga Tokimune stood panting. Blood dripped from his fist into a growing pool at his feet. He held his sword loosely and low and stared at Gorōmaru. Behind Tokimune lay the slashed and mutilated corpses of ten samurai. Tokimune had moved with such speed, that the Shogun’s retainers — men with decades of training and swordsmanship — had fallen like the easily dispatched henchmen of a computer game. But now, Tokimune stood before Gorōmaru, Lord of the Samurai. Gorōmaru was known across all of Japan for being huge, strong, and undefeated with the sword. Tokimune gathered his breath and raised his sword. Gorōmaru smiled.The Revenge of the Soga Brothers is not a story about a fight between samurai. Tokimune was there to seek revenge for the murder of his father. Gorōmaru was there to protect his liege lord. This was about honor. This was about bushido.
Continued here
|
S64Human "rewilding": To have a better life, live like a hunter-gatherer   The concept of human rewilding offers novel ideas about addressing the impending threat of global climate change and future pandemics, using evidence of how humans best lived and adapted through periods of climate instability, guided by perspectives from today’s Native communities and the observations of anthropologists.As I learned through trial and error, a fully rewilded lifestyle seems preposterous and dangerous to most of my peers and family members. Debating its merits has thus become a regular occurrence in my life, and some themes have emerged. At one skills gathering, I met a photographer who pressed me to admit that a lot of rewilding practices don’t scale. “Earth’s 7.2 billion people can’t hunt and gather anymore,” he said. “There isn’t enough quality habitat, and there are too many of us to live in ecological balance.”
Continued here
|
S65 S66 S67 S68New genetic analysis of   In 1991, a group of hikers found the mummified remains of Ötzi the Iceman emerging from a melting glacier in the Alps—likely murdered, judging by the remains of an arrowhead lodged in his shoulder. The mummy's genome was first sequenced in 2012, whereby the world learned that he likely had brown eyes, type O blood, blocked arteries, Lyme disease, and lactose intolerance. That first genetic analysis also determined that Ötzi was descended from Steppe Herders hailing from Eastern Europe who migrated to the region some 4,900 years ago.
Continued here
|
S70
| TradeBriefs Publications are read by over 10,00,000 Industry Executives About Us | Advertise Privacy Policy Unsubscribe (one-click) You are receiving this mail because of your subscription with TradeBriefs. Our mailing address is GF 25/39, West Patel Nagar, New Delhi 110008, India |